口腔がん・舌癌は歯科口腔外科で検査することができます
舌癌のような口腔がんの検査は、歯科口腔外科で行うことができます。
当院では、口腔がんの早期発見のため、大学病院で口腔がん治療に従事した歯科医師が「口腔がん検診」「舌癌検診」行っております。
実際に口腔がんが疑われた場合には、連携している大学病院や医療機関にご紹介できるシステムを取っております。
玉名近郊で口腔がん検診・舌癌検診をご希望の方は是非当クリニックへお越しください。
口腔がんとは
「口腔がん」は顎口腔領域に発生する悪性腫瘍の総称です。
悪性腫瘍はその細胞の種類によって大きく性質が異なりますが、口腔がんは病理組織学的に90%以上は扁平上皮癌であり、その他として小唾液腺に由来する腺系癌、肉腫、悪性リンパ腫、転移性癌があります。
WHOは舌、歯肉、口底、頬粘膜、硬口蓋に発生するがんを口腔がんと定義しています。
「がん」と「癌」
「口腔がん」のようにひらがなで「がん」と書かれている場合と、「舌癌」のように漢字で「癌」と書かれている場合があるのにお気づきでしょうか?
これは決して変換し忘れてひらがなになっているわけではなく、医療従事者は「がん」と「癌」を明確に使い分けています。
「がん」には、がん細胞が集まってできる「固形がん」と造血組織の異常による「血液がん」があり、さらに「固形がん」については「癌腫」と「肉腫」の2つに分類されます。
この分類のうち、上皮性細胞(皮膚や粘膜の細胞)から悪性腫瘍になったものを「癌腫」と呼びます。
漢字の「癌」はこの「癌腫」=上皮性細胞由来の悪性腫瘍であることを示しています。
一方、ひらがなの「がん」は悪性腫瘍全てを総称する時に使います。
顎口腔領域の悪性腫瘍には癌腫、肉腫、悪性リンパ腫などの複数が含まれています。
そのため「口腔がん」とひらがなで表記しています。
口腔領域の悪性腫瘍(口腔がん)
悪性腫瘍は、上皮性の癌腫(がんしゅ)と非上皮性の肉腫(にくしゅ)に分けられます。
口腔領域では肉腫はきわめてまれで、ほとんどは癌腫で粘膜の上皮から発生する扁平上皮癌(へんぺいじょうひがん)です。
口腔がんは、さらにそのできる部位によって口唇(こうしん)がん、舌がん、口底(こうてい)がん、歯肉(しにく)がん(上顎歯肉がん、下顎歯肉がん)、頬粘膜(きょうねんまく)がん、硬口蓋(こうこうがい)がんなどに分けられます。
これらのうち、舌がんの発生頻度がもっとも高く、口腔がんの約40%を占めます。
そのほかには唾液腺(だえきせん)から発生する腺系癌(せんけいがん)などもみられます。
以上のように、一口にがんといってもいろいろな場合があります。
しかし、一般的に良性の腫瘍に比べて、悪性の腫瘍には、
(1)病気の進行が速く、できもの(潰瘍、腫瘤)が速く大きくなる
(2)できものの周りが硬い
(3)周囲と癒着していて、境界がはっきりしない
(4)他の部位に転移する、などのような共通の性質があります。
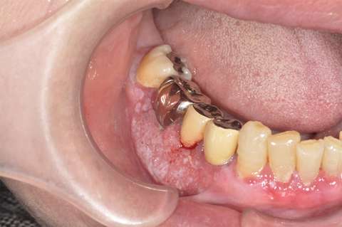
口腔がんの種類
口腔がんが見た目にどのような症状として現れるのか、写真付きでご紹介しています。
症例写真が苦手な方は「写真を表示」をクリックしないようお願いいたします。
口腔がんの症状
口腔がんの場合、初期は自覚症状がほとんどありません。
次のような症状が出ているときは、すでにがんが進行している状態です。
- 痛みがある
- 食べ物や飲み物がしみる、違和感がある
- 首のリンパ節が腫れる
- 数ヶ月間、口内炎が治らない
目に見える症状として、舌や粘膜に以下のような変化があります。
- 粘膜の赤み(発赤)がある
- ただれ(びらん・潰瘍)がある
- 触ると硬い(硬結)
- しこり(腫瘤形成)がある
- 口の中の痛みしびれ感
- 物が噛みづらい
- 飲み込みにくい
- 話しづらい
- 顎や舌を動かしにくい
また、口腔がんの初期段階の場合は、通常の口内炎と区別がつきにくい場合もあります。
口腔がんの罹患数
口腔がんは全がんの約1%、全頭頸部がんの約40%を占めており、男女比は 3:2 と男性に多く、年齢的に60歳代に最も多いとされています。
高齢化社会に伴い、口腔がんの罹患数は増加しており、年間約8,000人(推定)が口腔がんに罹患しています。
好発部位
日本における口腔がんの
部位別発生頻度
口腔がんの発生頻度は、舌>歯肉>口底>頬粘膜>硬口蓋の順に多く、日本における口腔がんの好発部位は「舌」です。
全口腔がんのうちの60%が舌癌となっています。
死亡率
口腔・咽頭がんの死亡率は46.1%であり、死因10位と危険な「がん」ですが、早期発見・早期治療を行うことにより、5年生存率は70~90%と高くなります。
口腔・咽頭がんの
罹患数と死亡者数
口腔・咽頭がんにおける死亡率の年次推移は、1960年から2000年までの40年間で著明な増加が認められます。
年齢階級別死亡率複数年
[口腔・咽頭 複数年]
早期発見の重要性
欧米では口腔がんの早期発見・早期治療を国民に呼びかけ、取り組んだことで死亡率を大幅に減少させました。
口腔がんの場合、初期段階(ステージⅠ)の5年後の生存率は97%以上です。
浅い口腔がんであれば切除範囲も小さくて済むため、大きな後遺症はありません。
口腔がんの治療法には 手術・放射線療法・化学療法(抗癌剤)の3つがありますが、最も有力な治療法は 手術 です。
小さながんは短時間の手術で治すことができます。
しかし、進行がんでは舌や顎を大きく切除し、その後再建(切除した部分を他の組織で補う手術)が必要となり、次のような後遺症が残ることがあります。
- 容貌が変わる
- 感覚が麻痺する
- 味覚が失われる
- 噛めない
- 飲み込めない
口腔癌は助かったとしても発見が遅れれば、舌・顎・頬を大きく切除する大変「悲惨ながん」です…。
そのため、早期発見が重要となります。
進行した下顎歯肉癌の再建の例
顎の骨にまで進行した下顎歯肉癌の術前術後のレントゲン写真です。
切除した顎の骨の部分に、腓骨(足の骨)を移植しています。
実際の検診の流れ
1. 視診・触診
お口の中を診させていただきます。
ただれていないか、赤くなっていないかなどの視診の他に、歯ぐきや舌に触れて硬くなっていないか、しこりがないか、触ると痛みがないかなども確認させていただきます。
2. 口腔内写真・エックス線検査
経過を見るためにお口の中のお写真を取らせていただきます。
また、内部や周囲の組織の状態を把握するためにエックス線写真を撮らせていただく場合があります。
3. その後の対応
悪性が疑われた場合には、連携している大学病院や医療機関へすぐにご紹介いたします。
口内炎や良性腫瘍が見つかった場合には、改めて予約をお取りし、当院で治療を行います。
Q. 検診に痛みはありますか?
基本的にはございません。
ただし、触診する際に痛みを感じる場合があります。
痛みがひどい場合には遠慮なくおっしゃってください。
Q. いきなり手術になることはありますか?
ありません。
検診で何かしらの疾患が見つかった場合には、改めて治療方針をご説明させていただきます。
悪性が疑われた場合にも、患者さんの同意を得た上で連携病院へご紹介いたします。
Q. 検診に時間はかかりますか?
おおよそ30~60分ほどで終わります。
検診で何かしらの疾患が見つかった場合には、改めて治療方針をご説明、あるいは連携病院へご紹介させていただきます。
当院で治療を行う場合には、その際におおよその治療時間をご説明いたします。
Q. 検診の費用はおいくらですか?
視診、触診、口腔内写真、エックス線写真を含めて¥5,000(税抜き)となっております。
Q. 予約の際にはなんと言えばいいですか?
「口腔がん検診希望」や「舌癌かどうか調べてほしい」のようにおっしゃってください。
気になる症状がある方へ
「口腔がん検診」「舌癌検診」をご希望の方や、口内炎がなかなか治らない、粘膜がただれたり、しこりができているという方は、一度当クリニックにご相談ください。
初期の口腔がんは通常の口内炎と鑑別することが我々口腔外科医にとっても難しい場合があります。
安易にご自身で判断したりせず、少しでも不安があれば是非ご相談にいらしてください。




![年齢階級別死亡率複数年(男性)[口腔・咽頭 複数年]](./img/service/cancer/cancer_graph04m.jpg)
![年齢階級別死亡率複数年(女性)[口腔・咽頭 複数年]](./img/service/cancer/cancer_graph04f.jpg)
